ASEBIR destaca la importancia de que la Sanidad Pública mantenga como gratuitos los tratamientos de fertilidad

La Asociación para el Estudio de la Biología de la Reproducción (ASEBIR) quiere resaltar que es importante que los tratamientos de reproducción asistida se mantengan gratuitos en el sistema sanitario público de nuestro país. La infertilidad es considerada una enfermedad por lo cual su asistencia y tratamiento debería estar al alcance de todos. La infertilidad [...]

Por |2016-10-28T09:48:27+02:001 junio, 2012|Noticias|

En la Comunidad Valenciana nacieron más de 1.500 bebés en 2010 gracias a la reproducción asistida

En los últimos años se ha detectado una tendencia al alza de la cantidad de personas que no pueden concebir de forma natural y deciden tener un hijo mediante alguna técnica de reproducción asistida. Durante el año pasado, la aplicación de estas técnicas conllevó el nacimiento de 1.551 niños en la Comunidad Valenciana. Cada vez [...]

Por |2016-10-28T09:48:28+02:0030 mayo, 2012|Noticias|

La mujeres con cáncer reciben menos información sobre infertilidad que los hombres

Los tratamientos oncológicos pueden afectar a la fertilidad de las personas que lo padecen. Hoy en día existen técnicas de preservación de fertilidad para poder tener un hijo más adelante gracias a la reproducción asistida. Pero un estudio reciente revela que las mujeres sometidas a un tratamiento contra el cáncer no reciben tanta información sobre [...]

Por |2016-10-28T09:48:31+02:0029 mayo, 2012|Noticias|

Las células ‘natural killer’ en el endometrio podrían provocar un fallo implantacional

Las células ‘natural killer’ son las responsables de la defensa inmunológica. Un estudio reciente demuestra que si hay demasiadas ‘natural killer’ en el endometrio, podrían reconocer el embrión como célula extraña y destruirlo. El fallo implantacional es uno de los problemas principales que se dan en los tratamientos de reproducción asistida. Cuando el embrión no [...]

Por |2016-10-28T09:48:34+02:0028 mayo, 2012|Noticias|

El bienestar emocional de la mujer es clave cuando se somete a un tratamiento de reproducción asistida

El soporte psicológico es muy importante durante la realización de un tratamiento de reproducción asistida. Y es que si bien la ansiedad difícilmente repercutirá de forma directa en el éxito del tratamiento, sí puede condicionar a la pareja y hacer que abandone antes de poder lograr el embarazo deseado. Para evitar el estrés que supone [...]

Por |2013-12-15T16:38:43+01:0025 mayo, 2012|Noticias|

La capacidad de fecundar de los espermatozoides se puede predecir con marcadores genéticos

Hay muchos casos de infertilidad en los cuales el semen es aparentemente normal. La causa de la infertilidad es pues desconocida, lo que indica que el problema del semen podría tener un origen genético. Por ese motivo y con el objetivo de poder predecir la capacidad de fecundar de los espermatozoides, científicos del IDIBELL y [...]

Por |2016-10-28T09:48:36+02:0024 mayo, 2012|Noticias|

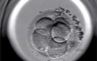
Los pacientes de una FIV pueden ver por Internet cómo evolucionan sus embriones dentro del Embryoscope

Institut Marquès ha presentado en el 29º Congreso de la Sociedad Española de Fertilidad (SEF) un innovador sistema para que los pacientes que han realizado una Fecundación in Vitro (FIV) puedan observar a través de Internet cómo evolucionan sus embriones antes de que sean transferidos al útero de la mujer. El Embryoscope es un incubador [...]

Por |2016-10-28T09:48:41+02:0022 mayo, 2012|Noticias|

La reproducción asistida permite que mujeres solteras, lesbianas o parejas ensambladas puedan tener hijos

Actualmente hay muchos tipos distintos de familias. Gracias a las técnicas de reproducción asistida se pueden formar nuevos modelos familiares, como en los casos en que una mujer sin pareja se queda embarazada, dos mujeres lesbianas tienen un hijo o dos personas divorciadas se unen en una nueva pareja y tienen un hijo en común. [...]

Por |2016-10-28T09:48:45+02:0021 mayo, 2012|Noticias|

Aumenta la realización de transferencias selectivas de embriones con el fin de evitar embarazos múltiples

Un embarazo múltiple supone un incremento de riesgos tanto para la madre como para los fetos. Por ese motivo cada vez se hacen más transferencias selectivas de embriones con el objetivo de reducir los embarazos múltiples y conseguir que la tasa de embarazo se acerque a la que se da de forma natural. Uno de [...]

Por |2016-10-28T09:48:47+02:0018 mayo, 2012|Noticias|

La Sociedad Española de Fertilidad recuerda que la infertilidad es una enfermedad en la primera jornada del 29º Congreso SEF

En España, cerca de un millón de parejas necesitan recurrir a la reproducción asistida para poder ser padres, y es que la infertilidad afecta al 15% de las parejas. Las alteraciones de la capacidad reproductiva son consideradas una enfermedad. Así lo recuerda la Sociedad Española de Fertilidad (SEF) en su 29º Congreso Nacional celebrado en [...]

Por |2016-10-28T09:48:48+02:0017 mayo, 2012|Noticias|
Ir a Arriba